セラミックを使った治療

歯を美しく思い通りに

セラミック法

セラミックという素材は、歯科治療を行う上で生体親和性が非常に高く、見た目の美しさのみならず、その機能も天然歯と変わらない素材として使用されます。 金属をセラミックに変えていくこと(メタルフリー)によって金属アレルギーなど体に与える影響を軽減できる事は確かです。当院では、患者様一人一人の状態に合わせ、強さと美しさを兼ね備えた最高水準のセラミック治療を心がけています。

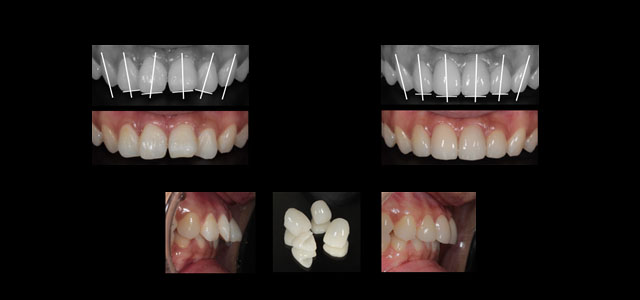
オールセラミック治療 症例1

お悩み: 前歯の歯並び。
治療内容: 矯正治療は希望されなかったため、前歯4本を金属を使用しないオールセラミックにて治療し歯並びを改善しました。
患者様の声: 審美的に改善し、満足しました。

オールセラミック治療 症例2

お悩み: 前歯のかぶせ物のバランスと色が気になる。
治療内容:短い治療期間の中で一番良い治療法を選びました。かぶせ物は金属を使用しないオールセラミック治療を施しています。
患者様の声:審美的に改善し、満足しました。

オールセラミック治療 症例3

お悩み:転んで前歯が欠けてしまった。
治療内容:自分の歯のようにしてほしいというご希望がありましたので、金属を使用しないオールセラミック治療を行いました。
患者様の声:とても自然に仕上がりました。

ZOOM ホワイトニング

光で白くする新しい治療法です。ズームホワイトニング・システムは、安全で効果的、そしてとても短時間で済みます。たった1時間程で、あなたも驚くほど白い歯を手に入れることができます。結果をすぐに目で確かめたいという方に最適です。又、ホワイトニングは医院によって施術代に幅があるかと思いますが、1回の価格が安くても数回通わなければ思いどうりの白い歯に ならない場合もあるようです。

ラミネートベニア

歯の表面を薄く削り、セラミックで作製した薄い付け爪のような板を歯の表面に背着剤で貼り付ける修復法です。歯の一部が欠けてしまったり、歯の形が不揃いだったり、歯と歯の隙間が気になっていたり、または歯の色にお悩みの方にご利用いただけます。 患者様の歯と同様の色や形で仕上げます。

メタルフリー(腐食し続ける金属をセラミックに)

皮膚科のDrとの連携とアレルギーテスト

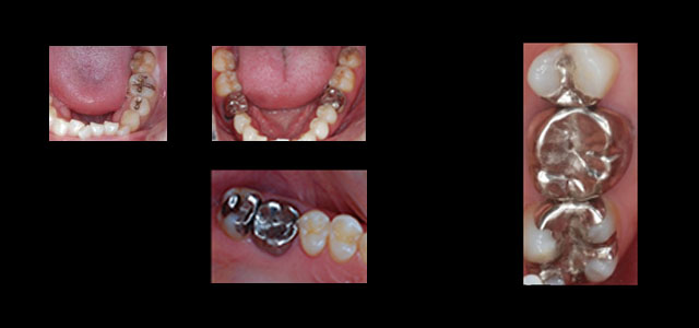
過去にむし歯を治療した経験がある人の口の中には、たいてい「アマルガム」か「金銀パラジウム合金」という金属が入っています。 アマルガムの正式名称は「歯科用水銀アマルガム」です。歯科治療用の水銀は、無機水銀が使用されていますが無機水銀 も有機化すると、メチル化水銀などに変質し、水俣病などの原因となった有害な水銀となります。 金銀パラジウム合金とは(ほとんどの方の銀歯) 金12% パラジウム20% 銀50% 銅16% その他2%(亜鉛 インジウ、イリジウム等)を含んでいます。パラジウムは、金の耐摩耗 性、銀の耐蝕性、耐硫化性という欠点を補うために使用されていますが、リンパ球幼若化テストという金属アレルギー検査では,約半数の人に陽性反応が出ます。 この金銀パラジウム合金は、残念ながらむし歯治療をしたことのあるほとんどの人に使われています。当クリニックでは 皮膚科のDrとの連携治療をお勧めしております。

あなたの口の中は大丈夫ですか?

虫歯の治療に金属が非常に多く、歯科用金属によると思われるアレルギー症状(粘膜疾患。皮膚疾患など)を訴える患者さんが増加しています。口の中の金属は、唾液と反応して溶け出し、腐食し続けます。 金属が腐食したところから金属アレルギーになるリスクが高まります。 又、歯肉の黒い着色を起こしたり、脳、肝臓、腎臓などの臓器に蓄積し、臓器機能障害を引き起こします。体内に蓄積された重金属により発生する活性酸素はガンの原因にもなります。そして老化をスピードアップし、免疫力低下を招いています。
【アレルギーをおこしやすい歯科金属】ニッケル ・パラジウム ・コバルト ・水銀

メタルフリーのご提案

患者様の6番目の歯には昔治療した『アマルガム』という 水銀が入っている金属でした。 体に及ぼす影響を考え外すことを提案しました。当院では詰め物セラミックに変える治療が1日で終了するセレックシステムを導入しています。 腐食し続ける金属をセラミックに変える事をお勧めします。
セレックシステム詳細はこちら>